Cifosi da Morbo di Scheuermann
Scheuermann descrisse nel 1921 una tipica cifosi o dorso curvo dell’adolescenza da distinguere dalla cifosi posturale per la sua peculiare rigidità con dolore.
Cifosi da Morbo di Scheuermann
- Cifosi dorsale rigida e dolorosa dell’adolescente
- Alterazione a cuneo delle vertebre toraciche
- Rientra nella famiglia delle malattie Osteocondrosiche
[/vc_column_text]
Morbo di Scheuermann
- Forma più frequente di Dorso Curvo (incidenza media 1-9% della popolazione)
- Eserdio intorno ai 10 aa in fase prepuberale
- Rapporto M:F = 1:1
- 15/20% casi coesiste lieve scoliosi lombare
Le cause
- Molto discusse
- L’indebolimento del piatto cartilagineo della vertebra, con penetrazione di disco all’interno del piatto (le ernie intraspongiose), e la conseguente alterazione dei processi di ossificazione encondrale portano come risultato alla cifosi (teoria di Schmorl e Junghans)
Ipotesi biomeccanica
Alterazione dell’ossificazione encondrale dei piatti vertebrali per carico meccanico anomalo. Istologicamente: ridotti livelli di collagene. Incremento componente mucopolissaridica.
In un rachide normale ogni vertebra è sottoposta ad una pressione di una certa entità, costituita dal peso della porzione superiore del corpo, ed il carico si distribuisce in modo equo. Se questo peso è distribuito in modo diseguale sul corpo vertebrale. Crescita asimmetrica della vertebra ” Vertebra A Cuneo“.
- Ipotesi meccanica, ossia le forze che agiscono sui piatti vertebrali in compressione determinano una stentata crescita di parte del corpo vertebrale.
- Ipotesi non del tutto soddisfacente
Sovraccarico meccanico come causa dell’alterata ossificazione encondrale vertebrale e predisposizione genetica:
- Maggiore prevalenza in soggetti sottoposti a lavori pesanti in giovane età
- Maggiore prevalenza in giovani atleti sottoposti a stress in iperflessione/estensione del tronco
- Familiarità
Ipotesi biomeccanica
- Poco chiaro il rapporto tra ormone della crescita e Cifosi da Scheuermann
- Ipersecrezione di ormone della crescita nei soggetti con Cifosi da Scheuermann (più alti livelli rispetto alla media dei coetani, età ossea più avanzata)
- Questa alterata secrezione ormonale è la causa primaria della malattia o un tentativo di compenso?
- Possibile che questa ipersecrezione dell’ormone della crescita sia limitata al periodo puberale e che dopo ritorni nella norma
- Infatti non ci sono studi che confermino questa ipersecrezione aumentata negli anni
- L’ipertrofia della cartilagine di accrescimento è la risposta fisiologica dell’osso alla secrezione dell’ormone della crescita e studi istologici hanno confermato aree di ipertrofia nella cartilagine di accrescimento di vertebre in Cifosi da Scheuermann
- Studi istologici confermano anomalie del piatto vertebrale e della cartilagine di accrescimento per cui il Dorso Curvo sarebbe la conseguenza di una alterazione della ossificazione encondrale
- In assenza di osteoporosi e senza segni di necrosi
In conclusione
- Il Dorso Curvo da Scheuermann è causato da una alterazione della ossificazione encondrale, che determina un’alterata crescita del piatto vertebrale.
- Fattori meccanici agiscono su questo disturbo della crescita e questo porta alla cuneizzazione del corpo vertebrale e all’instaurarsi della cifosi
- Fattori genetici? Il loro ruolo è tutto da documentare
- Iperscrezione dell’ormone della crescita? Sembrerebbe piuttosto una risposta (più che una causa) ad una non ben chiara condizione metabolica
- Difficile giungere a conclusioni sulla patogenesi
Quadro Clinico
- Il Dorso curvo
- Sede Toracica (apice tra T7 e T9) o Toracolombare (apice tra T10 e T12)
- IperLordosi lombare e cervicale di compenso
- Pigmentazione della cute sui processi spinosi all’apice della cifosi (per la frizione contro lo schienale della sedia)
- Scoliosi lieve lombare spesso associata al Dorso Curvo
- Difetto estetico
- Dolore (sintomo predominante)
- Localizzato all’apice della deformità
- Cifosi Dorsale o Dorsolombare
Dolore: sintomo principale (fase puberale tardiva)
- Sovraccarico asimmetrico discale
- Fenomeni infiammatori disco-piatto vertebrale
- Comonente muscolare da iperlavoro?
Cifosi dorsale rigida e dolorosa nell’adolescente
- Iperlordosi lombare non strutturata
- Antiversione della pelvi
- incurvamento delle spalle
- 15/20% casi scoliosi concomitante
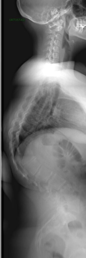
Cifosi oltre i 40°
misurata sulle rx in piedi T3 – T12z
Cifosi da Morbo di Scheuermann: Toracica
Cifosi da Morbo di Scheuermann: ToracoLombare
In Conclusione
La cifosi da Scheuermann è una tipica cifosi o dorso curvo dell’adolescenza da distinguere dalla cifosi posturale per la sua peculiare rigidità con dolore. Tre o piu’ corpi vertebrali adiacenti sono cuneizzati. Tipiche alterazioni delle limitanti somatiche. Alla deformità si associa una rachialgia dorsale (dorsalgia meccanica), che costituisce spesso il sintomo che porta alla consultazione.
Trattamento
- Riabilitazione nella fase di esordio
- Passare subito ad un programma di busto ai primi segni di peggioramento
- Se la cifosi non si corregge adeguatamente si passerà alla chirurgia
Quando Operare?
- Oltre i 50°
- Dolore
- Difetto estetico
- Disagio
Background
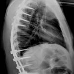
- Trattamento chirurgico «storico» della cifosi di Scheuermann: release anteriore con fusione seguito da artrodesi posteriore strumentata.
- Orientamento degli ultimi anni: solo artrodesi posteriore con sintesi peduncolare e osteotomie di Ponte
- A parte un recente lavoro di Koller (2013) che ripropone approccio combinato con viti peduncolari: 111 casi, 45% correzione e 4 mesi di busto ortopedico.
- Nostra strategia degli ultimi 10 anni, dopo la fase della chirurgia combinata: solo tempo posteriore, alta densità di viti peduncolari (oltre 90%) e osteotomie di Ponte.
Registrazione durante l’intervento dei Potenziali PESS/PEM
- Inizialmente Montaggi Ibridi Unicini e Viti
- Successivamente montaggi Peduncolari




























